Путешествие
к комфорту

Как сделать опыт ношения съемных
зубных протезов позитивным

Здесь Вы можете проверить свои знания о съемных протезах. Ваш коллега Доктор Дэнтур проведет Вас и пациента в увлекательное путешествие, цель которого — помочь пациенту решиться на протезирование и стать более уверенным в себе.

А теперь рассмотрим клинический случай нашего пациента.

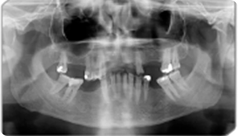
Данные пациента [гипотетический пациент]:

Геннадий, 55 лет

  • 1 класс по Кеннеди ВЧ, моляры и премоляры верхней челюсти утеряны в результате осложненного кариеса;

  • в анамнезе декомпенсированный СД 2 типа;

  • для пациента важна функциональность протеза, комфорт ношения и уверенность в фиксации;

  • зубная формула представлена справа.

Пациенту рекомендовано изготовление съемного частичного зубного протеза

Здравствуйте, доктор!

Честно говоря, мне немного страшно начинать носить протез. Я знаю, что протез мне очень нужен, но боюсь, что не смогу контролировать его удержание во рту, особенно во время разговора, во время еды и буду постоянно волноваться по этому поводу.

Поддержать
пациента

Добро пожаловать на Смотровую площадку! Перед нами непростое испытание! Путь к комфорту требует подготовки и понимания потребностей нашего пациента.

Потребности
пациента

Первый опыт примерки протеза

  • Позитивные
    эмоции*

    Основная проблема — нехватка зубов — решена.

    Возможность нормально питаться, улыбаться, общаться с другими людьми.

    Пациенты перестают ощущать себя неполноценными.

  • Разочарования*

    Ощущение инородного тела во рту.

    Давление на десну.

    Растерянность из-за
    дискомфорта во рту.

    Непонимание, как правильно разговаривать.

  • Страхи*

    Повредить протез во время еды.

    Протез может выпасть при слабой фиксации.

    Не сможешь снять протез.

    Повредишь здоровые зубы.

    Опасения за гигиену оставшихся зубов при сильной фиксации.

Что говорят пациенты?*

  • ... Было такое предвкушение,
    и радость, у меня появились зубы,
    могу жевать...

    Пациент 4, 40-49 лет

  • ... неприятные эмоции,
    я не понимала, почему...
    Протез мешал языку, ему
    не хватало места...

    Пациент 1, 50-59 лет

  • ... Боязнь, что, они выпадут или
    что-то с ними произойдет. Как
    правильно кушать, чтобы
    не сломать их...

    Пациент 7, 40-49 лет

Психологический и физический комфорт при использовании крема для фиксации (например, Корега)

  • С кремом для фиксации
    протезов

    Легче период адаптации*

    Выше удовлетворённость пациентов качеством жизни*

    Пища меньше попадает/ совсем не попадает под протез

    Комфортно жевать — менее болезненные ощущения при надавливании на протез

    больше уверенности, что протез не выпадет/ не сдвинется

    Меньше раздражения/ нет раздражения от натирания

  • Без крема для фиксации
    протезов**

    Натирание, кровоточивость десен, попадание пищи под протез

    Страх повреждения протеза при смещении

    Болезненные ощущения во время еды

    Дискомфорт при жевании пищи

Что говорят пациенты?*

  • Прежде всего, психологическое (ощущение) какое-то, лично у меня, что, будет более надежно. Меньше отвлекаешься на то, что у тебя во рту...

    Пациент 2, 50-59 лет

  • ...можно улучшить герметичность, посадку этого протеза. Комфортнее, конечно, когда ты чувствуешь, что не съезжает челюсть. Я в себе более уверена. Я знаю, что я чихну, плюну, посмеюсь, фыркну, у меня ничего не вылетит на стол...

    Пациент 2, 50-59 лет

  • ...Разница (при ношении с кремом) есть. Нет страха потерять, перестаешь вообще ощущать, что у тебя во рту что-то есть...

    Пациент 2, 50-59 лет

  • ... Перестаешь бояться общаться, чихать...

    Пациент 7, 40-49 лет

Сомнения и страхи пациента

Словно выпадающие доски из веревочного моста, сомнения выбивают нас из колеи привычной жизни. Так и с протезированием — пациент боится начать лечение из-за неуверенности.

Коллега, на этом этапе нам с Вами нужно поддержать пациента, рассказать ему об особенностях использования съемных зубных протезов и помочь преодолеть сомнения и страх.

Развеять сомнения

Доктор, мой протез отлично зафиксирован, но смогу ли я выполнять повседневные действия с ним? Могу ли я быть уверен, что во время разговора, пения у меня не будет дискомфорта и искажения речи?

Всё верно! Сейчас как раз самое подходящее время научиться правильно пользоваться протезом, чтобы он комфортно служил вам в повседневной жизни.

Использование
крема для фиксации
зубных протезов Корега

особенно в период адаптации,
способствует более позитивному
опыту использования протеза

Как правильно пользоваться протезом?

Настоящий сайт предназначен исключительно для специалистов здравоохранения в России. Пожалуйста, нажмите соответствующую кнопку.

ВЫ ПОКИДАЕТЕ НАШ САЙТ

Вы покидаете наш сайт и переходите на сторонний сайт, который не принадлежит компании Haleon. Haleon не несет ответственности за действия сторонних сайтов. Если Вы решили не покидать наш сайт, нажмите «Отменить».